
Biological Dentistry – For Your Good Health.
Recent advancements in dental techniques and materials used have opened greater possibilities of patients receiving oral treatments that are not toxic to their bodies and that don't cause undue emotional or mental distress. To obtain the benefits of one of the top Thousand Oaks holistic dentists, ModelSmile Dentistry is your best choice.
Get a Professional Second Opinion
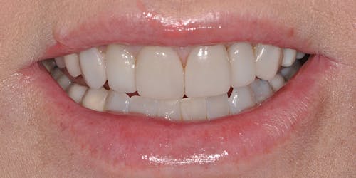
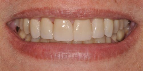
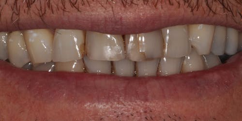
Considering a second opinion for your dental care? Thousand Oaks Dentist, Dr. Albert Chow, understands how important it is to feel confident in your treatment plan. Our second opinion appointments give you the opportunity to discuss your concerns, review treatment options, and receive expert advice from our experienced team—all with no obligation.
Whether you’re seeking clarity on a diagnosis or exploring alternative solutions, Dr. Albert Chow is here to help you make informed decisions about your oral health. Schedule your second opinion appointment today and take the next step toward a healthier smile with confidence.
Schedule A Consultation
Contact Us
Schedule A Consultation
Contact Us
An integrative dental practice for the whole family
As a family dentist who helps children and adults alike, he stays educated in current studies. For example, he currently supports further research into the proposed possibility of adding fluoride to milk, feeling that more data is needed before this practice is wholeheartedly endorsed.
These and numerous other techniques and practices are constantly used at our facility to provide holistic dentistry to our patients. We are confident that when you want the best holistic dentist Thousand Oaks has to offer, you will find exactly that with Dr. Chow and his staff at ModelSmile Dentistry.
























